

Laís Bianquini
Jornalista há 10 anos, formada pela Unesp, com MBA em Marketing pela USP e especialização em SEO, escreve sobre Saúde Estética com clareza e precisão.
2.5K
visualizações
Não é de hoje que a preocupação estética não se restringe apenas em cuidar do corpo. Se atentar ao sorriso é algo que, para muitos, se torna essencial. Por isso, vale a pena entender as diferenças entre as facetas estéticas e lentes de contato dental.
A área odontológica vem trabalhando nos últimos anos para proporcionar o bem estar aos pacientes com as chamadas facetas estéticas e lentes de contato dental. Abaixo, a distinção entre ambas.
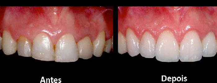
As facetas estéticas são uma forma de conseguir um sorriso perfeito. Esse tratamento é indicado para pessoas que possuem dentes manchados, lascados ou os que têm espaços. Possuem cerca de 0,7 milímetros de espessura.
Há dois tipos de facetas estéticas, de resina e porcelana. E a diferença entre os tipos ajuda a entender também as vantagens e desvantagens entre os procedimentos de facetas estéticas e lentes de contato dental.
As de resina são voltadas a pacientes que possuem dentes conoides, ou seja, dentes menores que o normal, apresentando forma de cone e espaço entre os dentes. Essas facetas estéticas são para pessoas que desejam mudar a estética facial, permitindo que o dente apresente uma boa aparência.
Não é recomendado a pacientes que possuem bruxismo, o ato de ranger ou cerrar os dentes ou até mesmo casos de vestibularização severa, pois requer um alto desgaste da estrutura dental e disponibilidade de esmalte.
ENTRE NO GRUPO E ACOMPANHE AS NOSSAS ANÁLISES

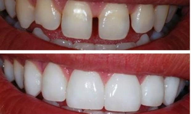
Agora, para entender essa relação entre facetas estéticas e lentes de contato dental, vamos falar das lentes.
Elas são definidas como facetas ultrafinas de cerâmica dental colocadas nos dentes e proporcionam o mínimo de desgaste possível. O procedimento muda a cor, formato, alinhamento dos dentes em menos tempo.
Muito utilizada por celebridades, a técnica dá um novo formato ao sorriso, corrigindo defeitos de coloração e também casos onde é necessário corrigir múltiplos dentes. Possuem espessura média de 0,2 e 0,4 milímetros. Como são finíssimas, não precisa que o esmalte do dente seja desgastado e, se isso ocorrer, será quase imperceptível.
O preço vai variar de profissional e região do país, bem como a duração do procedimento, quantidade de dentes a serem revestidos pelas lentes de contato. Cada faceta dental custa em média R$ 1.000 a R$ 3.000.
O material utilizado no processo é um dos motivos do preço ser alto. A porcelana é a mais cara. Um tratamento completo pode variar de R$ 6.000 a R$ 48.000.
Se a lente rachar não há como corrigir. No entanto, duram em média 10 anos e após esse tempo o tratamento deve ser refeito. Para entender ainda mais das facetas estéticas e lentes de contato dental, considere as desvantagens das lentes.
As desvantagens existem como em qualquer outro tratamento. É inegável que elas proporcionam um belo sorriso aos pacientes, devolvendo a autoestima para muitos deles.

A verdade é que não é tão simples assim escolher entre as facetas estéticas e lentes de contato dental. Afinal, para cada caso vai existir uma melhor resposta, isto é, um melhor procedimento. Assim, é possível considerar a necessidade de receber um atendimento do dentista responsável que vai avaliar as possibilidades.
As facetas podem ser feitas em menos consultas, sendo para quem tem mais pressa no resultado. Por outro lado, as lentes de contato podem durar um pouco mais. Para ambas as situações é preciso manter a boa higiene bucal.
Descubra como a odontologia estética pode proporcionar a harmonização para o sorriso perfeito.
Fonte: ABO e Instituto Barbosa
Conecte-se à rede de Biomédicos Estetas
Você atingiu o limite.
Para obter acesso gratuito a outros artigos acadêmicos, faça o cadastro com sua conta Google.
Conecte-se à rede de Biomédicos Estetas